X Κλείστε Ραντεβού - Εικονίδιο

Κλείστε Ραντεβού

Καλώντας στα
2104809150 - 160

από τις 08.00 π.μ.
εώς τις 16.00 μ.μ.

Στέλνοντας mail στο
information@metropolitan-hospital.gr

X Βρείτε Υπηρεσία - Εικονίδιο

Βρείτε Υπηρεσία

Υπηρεσίες - Τμήματα

Ειδικές Μονάδες

Εξωτερικά Ιατρεία

HomeCare

Επείγοντα

Ενημερωθείτε για τα Ιατρικά Τμήματα, τα Εξωτερικά Ιατρεία, τα Επείγοντα και για όλες τις υπηρεσίες

X Επικοινωνήστε μαζί μας - Εικονίδιο

Επικοινωνήστε μαζί μας

Καλώντας στα
2104809150 - 160

Στέλνοντας mail στο
information@metropolitan-hospital.gr

Φόρμα Επικοινωνίας

X Που θα μας βρείτε - Εικονίδιο

Που θα μας βρείτε

Οι σύγχρονες εγκαταστάσεις του Metropolitan Hospital
βρίσκονται στην παραλιακή λεωφόρο στο Νέο Φάληρο

Εθνάρχου Μακαρίου 9
& Ελ.Βενιζέλου 1,
ΤΚ 18547
Ν. Φάληρο
Πειραιάς

X Βρείτε Γιατρό - Εικονίδιο

Βρείτε Γιατρό

Αναζητήστε γιατρό ανά ειδικότητα ή όνομα μέσα από την ιατρική μας ομάδα

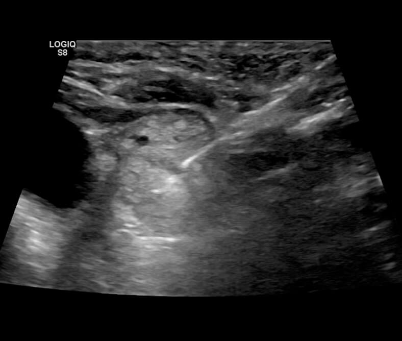
Θερμοκαυτηρίαση με ραδιοσυχνότητες στον θυρεοειδή

Μια πρωτοποριακή μέθοδος για την αντιμετώπιση των καλοήθων όζων του θυρεοειδή είναι η χρήση των ραδιοσυχνοτήτων (RF ablation). Γίνεται στο Μetropolitan Hospital, με τοπική αναισθησία, χωρίς τομές και οι ασθενείς εξέρχονται την ίδια μέρα.

Η ένδειξη για την αντιμετώπιση των όζων με αυτή την μέθοδο τίθεται σε συνεννόηση με τον θεράποντα ενδοκρινολόγο. Η έως τώρα εφαρμογή αυτής της μεθόδου παγκοσμίως, γίνεται σε τεκμηριωμένα καλοήθεις όζους θυρεοειδούς, όταν υπάρχει αντένδειξη για χειρουργική εξαίρεση ή όταν ο ασθενής δεν επιθυμεί την αφαίρεση του αδένα.

Εφαρμόζουμε επίσης, την νέα αυτή μέθοδο σε ασθενείς με υποτροπή στην χειρουργική κοίτη ή σε τραχηλικό λεμφαδένα, στις περιπτώσεις που δεν είναι εφικτή η επανεπέμβαση.

' Χρόνος Ανάγνωσης

Δείτε επίσης

Πώς να προστατευτείτε από την υπέρταση: Σύγχρονοι τρόποι πρόληψης και θεραπείας

Ο Μανώλης Αθανάσιος
Μανώλης Αθανάσιος

Διευθυντής Β’ Καρδιολογικής Κλινικής και Κέντρου Υπέρτασης Metropolitan Hospital, Καθηγητής στο τμήμα Υπέρτασης του Πανεπιστημίου Βοστώνης και μέλος του Διοικητικού Συμβουλίου της Ευρωπαϊκής Εταιρείας Υπέρτασης.