Η Α’ Ρομποτική Χειρουργική Κλινική του Metropolitan Hospital ανακοινώνει την επιτυχή χειρουργική αντιμετώπιση ενός άκρως δύσκολου περιστατικού τριπλής παθολογίας από τη χειρουργική ομάδα αποτελούμενη από τον Διευθυντή Ι. Κ. Κοζαδίνο και τους επιμελητές Π. Ν. Φαρμάκη και Γ. Κ. Γεωργίου.
Η επέμβαση αφορούσε ασθενή 70 ετών με αυξημένο δείκτη μάζας σώματος (BMI 40,3) και τριπλή παθολογία που συνίστατο σε:
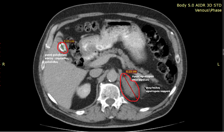
- ευμεγέθη όγκο αριστερού επινεφριδίου πάνω από 6,5 εκ και πιθανή κακοήθεια
- χολολιθίαση με υποτροπιάζουσες χολοκυστίτιδες
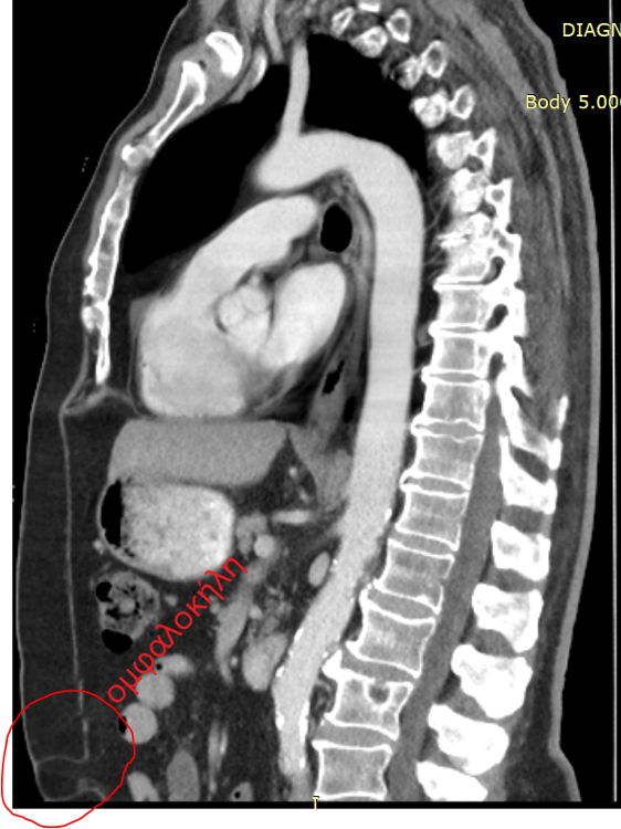
- & ευμεγέθη ομφαλοκήλη.

Ο ασθενής αντιμετωπίστηκε με το τελευταίας γενιάς ρομποτικό σύστημα, da Vinci Xi στον ίδιο χειρουργικό χρόνο, ενώ χρησιμοποιήθηκε διεγχειρητικά το πράσινο της ινδοκυανίνης (ICG), ουσίας ακίνδυνης, φθορίζουσας και μη τοξικής για τον ανθρώπινο οργανισμό που, χάρη στις ιδιότητές της, βοηθά στην αναγνώριση των σημαντικών ανατομικών στοιχείων. Με τη χρήση του συστήματος da Vinci Xi και τη βοήθεια της ινδοκυανίνης ελαχιστοποιούνται το χειρουργικό τραύμα, η αιμορραγία και η ανάγκη μετάγγισης, μειώνονται ο μετεγχειρητικός πόνος και η χορήγηση αναλγητικών και αντιβιώσεων, και περιορίζεται σημαντικά η παραμονή του ασθενούς στο νοσοκομείο. Έτσι αυτός εξέρχεται, συνήθως την επόμενη ημέρα της επέμβασης, απολαμβάνοντας ένα άριστο αισθητικό αποτέλεσμα και σε κατάσταση που ευνοεί την άμεση επιστροφή στο οικογενειακό και επαγγελματικό του περιβάλλον.
Ο εν λόγω ασθενής παρέμεινε λιγότερο από 24 ώρες στο Θεραπευτήριο και επανήλθε στο εργασιακό του περιβάλλον την 4η μετεγχειρητική ημέρα. Οι απαντήσεις των ιστολογικών εξετάσεων αναμένονται.