Στις 10 Νοεμβρίου 2025, ένα 8χρονο αγόρι προσήλθε στα ΤΕΠ του Metropolitan Hospital με σοβαρό θλαστικό τραύμα στην περιοχή της μέσης. Σύμφωνα με τους γονείς του, το ατύχημα συνέβη μια ημέρα πριν κατά τη διάρκεια παιχνιδιού, όταν το παιδί έπεσε με την πλάτη πάνω σε γυάλινο τραπέζι που θρυμματίστηκε, προκαλώντας βαθιά τραύματα και εισχώρηση πολλών μεγάλων κομματιών γυαλιού. (βλέπε φωτογραφίες 1 και 2).
Παρά την αρχική περίθαλψη σε άλλο νοσηλευτικό ίδρυμα την προηγούμενη ημέρα, το παιδί εμφάνισε ανησυχητικά συμπτώματα, όπως απώλεια ροζ υγρού από το τραύμα, έντονο πονοκέφαλο, φωτοφοβία και σημαντική μυϊκή αδυναμία – παράλυση στα κάτω άκρα. Με την εισαγωγή του στο Metropolitan Hospital, ενεργοποιήθηκε άμεσα ο μηχανισμός ταχείας ανταπόκρισης, με συντονισμένη κινητοποίηση των ειδικών της Κλινικής Χειρουργικής Σπονδυλικής Στήλης.
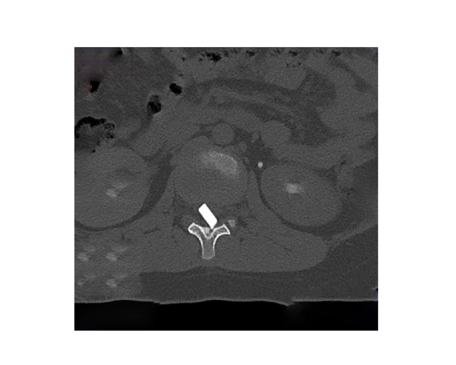
Οι μαγνητικές και αξονικές τομογραφίες πραγματοποιήθηκαν άμεσα, επιβεβαιώνοντας τις αρχικές υποψίες: δύο μεγάλα κομμάτια γυαλιού είχαν ενσφηνωθεί στη σπονδυλική στήλη, εισχωρώντας εντός του σπονδυλικού σωλήνα σχίζοντας την ιππουρίδα και την μήνιγγα που την περιβάλλει.
Ακολούθησε άμεση εισαγωγή του παιδιού στο χειρουργείο, όπου με πολύ προσεκτικούς χειρισμούς και τη χρήση προηγμένου εξοπλισμού, όπως το σύστημα χειρουργικής πλοήγησης, πραγματοποιήθηκε επιτυχής αφαίρεση όλων των κομματιών γυαλιού μετά από ένα πολύωρο και απαιτητικό χειρουργείο.
Η επέμβαση ήταν μια συλλογική προσπάθεια διεπιστημονικής ομάδας, υπό την καθοδήγηση του Δρ. Μάριου Λυκίσσα, Διευθυντή του Κέντρου Σκολίωσης Παιδιών & Εφήβων του Metropolitan Hospital. Εξειδικευμένοι επιστήμονες — ορθοπαιδικοί χειρουργοί, αναισθησιολογική ομάδα με εξειδίκευση στη διαχείριση παιδιατρικών περιστατικών, παιδιάτροι, νευρολόγοι και ακτινολόγοι —με την τεχνογνωσία τους και τη χρήση προηγμένης τεχνολογίας κατάφεραν να αφαιρέσουν με ασφάλεια όλα τα θραύσματα γυαλιού, προστατεύοντας τις ευαίσθητες νευρικές δομές και αποτρέποντας μόνιμες νευρολογικές βλάβες.
Η ανταπόκριση του παιδιού ήταν άμεση: η νευρολογική εικόνα βελτιώθηκε σχεδόν πλήρως αμέσως μετά την επέμβαση. Σήμερα, το παιδί έχει ανακτήσει πλήρως τη δύναμη στα κάτω άκρα, βρίσκεται σε σταθερή κατάσταση και η πρόγνωση είναι εξαιρετικά θετική.
Το Metropolitan Hospital παραμένει αφοσιωμένο στην υψηλού επιπέδου φροντίδα των ασθενών του, προσφέροντας υπηρεσίες αιχμής μέσα από οργανωμένα, εξειδικευμένα κέντρα και ομάδες που λειτουργούν με πρότυπα διεθνών κλινικών. Η Κλινική Σπονδυλικής Στήλης του Metropolitan Hospital αποτελεί σημείο αναφοράς για σύνθετα περιστατικά σπονδυλικής στήλης.
Επικοινωνία:
Metropolitan Hospital
Τηλέφωνο: 210 480 9000
Ιστοσελίδα: https://www.metropolitan-hospital.gr/el/

Φωτό 1

Φωτό 2