Brain, Neck, Spine
The special MRI techniques play a significant role in detecting and assessing the extent of cancer, but also in investigating many conditions of the central nervous system. These techniques significantly increase diagnostic accuracy when identifying and characterizing a lesion, contributing to selecting the most suitable treatment and to properly monitoring the treatment result.

We strive for state-of-the-art imaging of the central nervous system:
- With multiple applications in Oncology (diagnosis, preoperative and radiotherapy planning, treatment result monitoring) and many other conditions of the brain, spine and neck (metabolic, neurodegenerative, inflammatory and infectious).
- With a team of qualified neuroradiologists and radiophysicists, who apply special protocols in tune with international standards, adjusted to the anatomical area and condition under investigation.
- With diagnosis offered by doctors with long experience who have received training in centers of excellence in the USA, have specialized in Neuroradiology and are recognized in Greece.
What Are The Benefits Of Advanced Imaging?
- High-resolution morphological imaging with 3D images and volumetry option
- Fusion of current images with images from previous scans, for more accurate evaluation of any changes to lesions during comparative re-screening
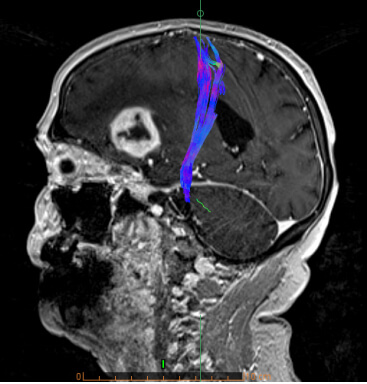
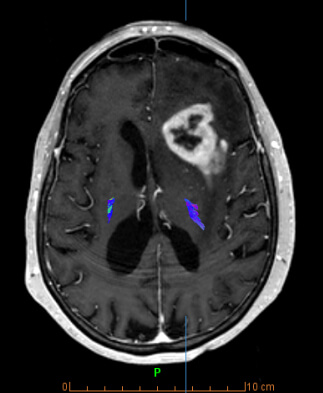
- Special state-of-the-art techniques (fMRI, Multiparametric MRI, Spectroscopy, Tractography, Dynamic Angiography, Neurography, CSF Flow Study)
- Combination of special techniques with high-resolution anatomical images, providing additional information for tissue characterization (number of cells, blood flow and metabolic activity)
See also
Neurosurgery
Techniques/Equipment
- Imaging using a state-of-the-art latest generation Siemens Skyra 3 Tesla scanner with a special head/neck coil (64 channel dedicated head coil), unique in Greece
- Data processing in CAD system
- High-resolution images
- Special Diffusion techniques (multiple b value DWI, IVIM)
- Perfusion (techniques: DSC, DCE, ASL)
- Spectroscopy
- Functional MRI (fMRI)
- Τractography
- Cerebrospinal Fluid (CSF) Flow Study
- Neurography
- 4D Dynamic MR Angiography (4D Twist)